Hier günstig kaufen: Alles was die Bildung braucht
ACHTUNG: Bitte löschen Sie den Ordner "xtWizard" nun von Ihrem Webserver.
 

Mikropräparate - Histologie des Frosches (Rana), 20 Präparate

Art.Nr.: 5900lie

Artikel-Zustand: neu

208,61 €
inkl. 19 % USt

  • zzgl. Versandkosten
  • lieferbar lieferbar
  • Lieferzeit ca. 8 Wochen, herstellungsbedingt
  • Gewicht 0,01 kg


Bewertung: 5.0 von 5

Produktbeschreibung

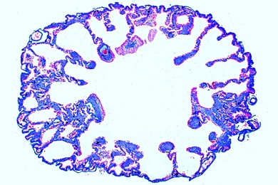
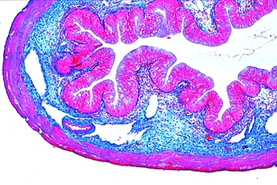
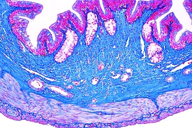
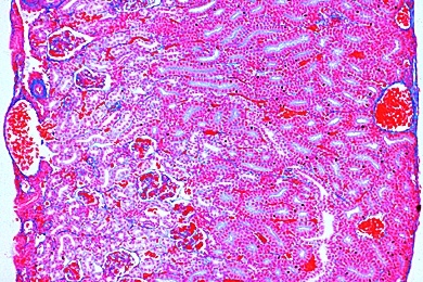
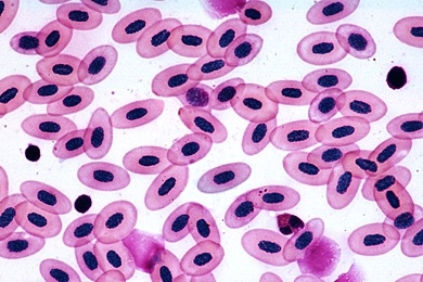
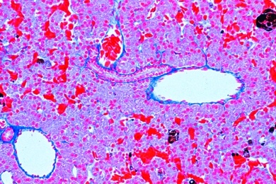
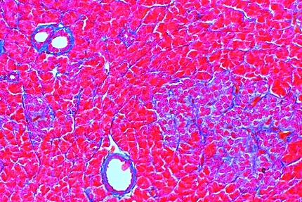
Histologie des Frosches (Rana sp.), 20 Präparate mit ausführlichem Begleitetxt -- 5901c Frosch, Lunge quer. Einfache Sacklunge, 5902d Frosch, Herz längs, Herzmuskulatur längs und quer, Herzkammern, 5903c Frosch, Blut, Ausstrich. Kernhaltige rote Blutkörperchen, 5904c Frosch, Milz quer. Lymphatisches Gewebe, 5905c Frosch, Zunge quer. Papillen, Drüsen, Muskulatur, 5906c Frosch, Speiseröhre quer, Flimmerepithelzellen, 5907c Frosch, Magen quer. Magenschleimhaut mit Drüsen, 5908c Frosch, Dünndarm quer. Darmfalten, Chylusräume, 5909c Frosch, Dickdarm quer. Schleimzellen, 5910c Frosch, Bauchspeicheldrüse quer. Langerhanssche Inseln, 5911c Frosch, Leber quer. Leberparenchym, Gallengänge, 5912c Frosch, Niere quer. Malpighische Körperchen, Harnkanälchen, 5913c Frosch, Harnblase quer. Glatte Muskeln, Übergangsepithel, 5914d Frosch, Eierstock quer. Reifende Follikel, Dotterbildung, 5915d Frosch, Hoden quer. Spermiogenese, reife Samenfäden, 5916c Frosch, Eileiter quer (Müllerscher Gang). Drüsenzellen, 5917c Frosch, Vorderhirn quer. Ganglienzellen, 5918d Frosch, Rückenmark, quer. Motorische Nervenzellen, 5919d Frosch, Augenhintergrund mit Netzhaut, quer. Stäbchen und Zapfen, 5920c Frosch, Haut quer. Hautdrüsen, Epidermis, Pigmentzelle, Mit ausführlichem Begleittext, Mikropräparate, Mikrotomschnitt, alle Präparate können einzeln bezogen werden. -- Zubehör: - Präparatekasten aus Kunststoff für 25 Präparate - wird bei Ihrer Bestellung automatisch mit geliefert und separat berechnet (PK25).

Bewertungen

* Den Zusatz “Verifizierter Kauf” erhalten nur Bewertungen, die von Käufern abgegeben wurden, die das Produkt in diesem Shop gekauft haben. mehr
1/1 Bewertungen

Alle Bewertungen

Verifizierter Kauf *

Geschrieben von verifizierten Kunden am 22.12.2017

Kann ich voll empfehlen

Sie haben sich toll gekümmert

Alle Bewertungen

Herstellerkennzeichnung

Name: Johannes Lieder GmbH & Co. KG
Postleitzahl: Ludwigsburg
Telefonnummer: +49 7141 921919