Hier günstig kaufen: Alles was die Bildung braucht
ACHTUNG: Bitte löschen Sie den Ordner "xtWizard" nun von Ihrem Webserver.
 

Mikropräparate in Serie - Entwicklung des Froschembryos (Rana sp.) 10 Präparate mit Begleittext

Art.Nr.: 8300lie

Artikel-Zustand: neu

164,46 €
inkl. 19 % USt

  • zzgl. Versandkosten
  • lieferbar lieferbar
  • Lieferzeit ca. 8 Wochen, herstellungsbedingt
  • Gewicht 0,5 kg


Bewertung: 5.0 von 5

Produktbeschreibung

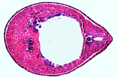
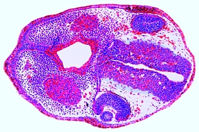
Entwicklung des Froschembryos (Rana sp.) 10 Präparate mit ausführlichem Begleittext
- 8301g Frosch, Morula-Stadium, quer: Blastomeren
- 8302g Frosch, Blastula-Stadium: längs, Blastocoel, Mikro- und Makromeren
- 8303g Frosch, Gastrula-Stadium, sagittal: Entstehung der Keimblätter, Urmundlippen, Dotterpfropf
- 8304g Frosch, Neurula-Stadium, quer: Ectoderm mit Medullarplatte und Neuralleisten, Mesoderm, Entoderm mit Urdarmhöhle
- 8305g Frosch, Junges Schwanzknospen-Stadium, quer: Neuralrohr, Chorda, Myotom und Splanchnotom
- 8306f Frosch, Junges Schwanzknospen-Stadium, sagittal: Segmentierung des Mesoderms, Gehirnanlage, Urdarm
- 8307f Frosch, Kopf- oder Kiemenregion der schlüpfreifen Larve, quer: Differenzierung der Organanlagen
- 8308f Frosch, Körperregion der schlüpfreifen Larve, quer: Organanlagen
- 8309e Frosch, Kopf der jungen Kaulquappe, quer
- 8310e Frosch, Thorax oder Abdomen der jungen Kaulquappe, quer
Alle Präparate können einzeln bezogen werden.
Verschiedene Präparate bereiten von der Beschaffung und Verarbeitung des Ausgangsmaterials her besondere Schwierigkeiten und können deshalb oft nur mit längerer Lieferzeit hergestellt werden.
Zubehör:  - Präparatekasten aus Kunststoff für 25 Präparate - wird bei Ihrer Bestellung automatisch mit geliefert und separat berechnet.

Bewertungen

* Den Zusatz “Verifizierter Kauf” erhalten nur Bewertungen, die von Käufern abgegeben wurden, die das Produkt in diesem Shop gekauft haben. mehr
1/1 Bewertungen

Alle Bewertungen

Verifizierter Kauf *

Geschrieben von verifizierten Kunden am 09.10.2016

meine Meinung !!!

Sehr netter, rascher und unkomplizierter Kontakt. 100 % weiter zu empfehlen!

Alle Bewertungen

Herstellerkennzeichnung

Name: Johannes Lieder GmbH & Co. KG
Postleitzahl: Ludwigsburg
Telefonnummer: +49 7141 921919